

Sobre Nós
Comprometidos em fornecer tratamentos odontológicos de alta qualidade para toda a família. Desde limpezas e check-ups regulares até procedimentos mais complexos, como implantes, tratamento de canal em sessão única, correções ortodonticas, tratamentos estéticos com clareamento, facetas, tratamentos gengivais, com nossa experiencia estamos prontos para cuidar de você e da sua saúde bucal.
Nossos Serviços
Cuidando de toda sua saúde bucal

Avaliação e Planejamento Voltado a sua saúdeResolva problemas dentários de forma segura

Limpeza dentalMantenha sua saúde bucal em dia, uso de ultra som e metodologia comprovada por mtos clientes satisfeitos.

Implante dentárioUnitários ou multiplos, desde implante imediato até protocolos, e reconstruções ósseas.

Odontologia estéticaTransforme seu sorriso com tratamentos personalizados, clareamento, facetas, gengivoplastias, harmonização do sorriso.

Tratamento de canalSalve seu dente e evite extrações, podendo resolver em sessão única.

OdontopediatriaCuide da saúde bucal dos pequenos desde cedo
Fale conosco
Você pode agendar sua consulta:
Pelo telefone: (11) 2052-2080
Ou pelo WhatsApp: (11) 2052-2080
O que nossos clientes dizem
" um ano atrás Realmente o melhor dentista que já conheci! Uma paciência e perfeccionismo! Excelência! "
"Dr Samuel profissional maravilhoso, eu e minha família somos pacientes há anos. Consultório super agradável atende no horário, limpeza, organização excelente. Super indico!"
" 2 semanas Excelente!!! Profissional maravilhoso. Amei o seu trabalho. Resposta do proprietário 2 semanas atrás Olá senhora Vânia Fico muito agradecido pela avaliação, e me coloco à disposição."

Pacientes
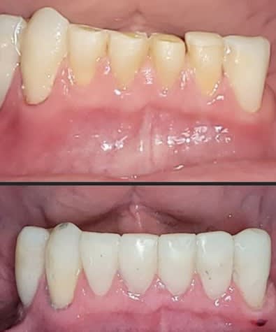
Galeria
Confira nossa galeria de fotos e veja como transformamos sorrisos, promovendo saúde e bem-estar aos nossos pacientes.
Entre em contato
Buscamos sempre as melhores alternativas de tratamento, com qualidade, honestidade e respeito aos nossos clientes.
- Rua Carolina Fonseca, 296 - Vila Santana, São Paulo - SP
Horário de atendimento
Segunda-Feira a Sexta-Feira 08:30 às 12:00 - 14:00 às 18:00
Tom Caju 6 avaliações · 1 foto